Wer uns vertraut
Vertrauen auch Sie uns, wie es viele zufriedene Kunden vor Ihnen getan haben. Lesen Sie, was uns zu Experten in der Zahnmedizin macht.

Mit spezialisierter Kinder- und Jugendkieferorthopädie in Leipzig fördern wir eine gesunde Entwicklung von Kaufunktion, Sprache und Atmung durch frühzeitige Korrektur von Zahn- und Kieferfehlstellungen.
Gerade und harmonisch angeordnete Zähne sind nicht nur ästhetisch ansprechend – sie bilden auch die Grundlage für eine gesunde Entwicklung Ihres Kindes. Zahn- und Kieferfehlstellungen können weit mehr als nur ein kosmetisches Problem darstellen. Sie beeinflussen die Kaufunktion, die Sprachentwicklung und im schlimmsten Fall sogar die Atmung Ihres Kindes. Bei moderndentistry in Leipzig haben wir uns auf die Kinderkieferortopädie spezialisiert und wissen, wie wichtig es ist, Fehlstellungen frühzeitig zu erkennen und zu behandeln.
Unser Zahnarzt Dr. Niels Hoffmann verfügt über langjährige Erfahrung in der kieferorthopädischen Behandlung von Kindern und Jugendlichen. Wir setzen auf moderne, schonende Behandlungsmethoden, die dem aktuellen Stand der Wissenschaft entsprechen. Mit einer Zahnspange für Kinder oder Jugendliche lassen sich Fehlstellungen optimal korrigieren – idealerweise während einer Wachstumsphase, wenn die besten Voraussetzungen für nachhaltige Behandlungserfolge gegeben sind.

Behandlungsdauer
12-36 Monate, abhängig von Ausgangssituation
Betäubung
In der Regel nicht erforderlich
Nachbehandlung
Retainer zur Stabilisierung notwendig
Essen
Bei fester Zahnspange anfangs weiche Nahrung, bei Alignern keine Einschränkungen
Sport
Keine Einschränkungen
Kosten
Ab 2.000 €


Unabhängig zertifizierte Qualität
Dr. med. dent. Niels Hoffmann
Zahnarzt – moderndentistry
Unser Zahnarzt und Gründer Dr. Hoffmann arbeitete vor der Gründung von moderndentistry Leipzig als Zahnarzt für ästhetische Zahnmedizin in der White Lounge sowie der Voss Klinik Leipzig und verhalf schon vielen zufriedenen Patienten zu einem neuen Lächeln.
Als Clinical Masters™ for Esthetic and Restorative Dentistry absolvierte er internationale Spezialausbildungen in Kooperation mit der University of San Francisco und der American Dental Association und ist mit weltweit renommierten Zahntechnikern und Zahnärzten vernetzt, um höchste Qualität und Ästhetik zu gewährleisten.
Für seine konsequente Patientenorientierung und erstklassige Behandlungsqualität wurde Dr. Hoffmann 2023 mit dem Qualitätszertifikat von jameda ausgezeichnet. Basierend auf den Erfahrungsberichten seiner Patientinnen und Patienten auf jameda.de erhielt er eine 5-Sterne-Bewertung und zählt somit zu den Top-Zahnärzten in der Region. Dieses Gütesiegel bestätigt sein Engagement für Vertrauen, Sorgfalt und exzellente Zahnmedizin.
Die richtige Zeitwahl spielt bei der Kieferortopädie für Jugendliche und Kinder eine entscheidende Rolle. Wir empfehlen, bereits ab einem Alter von etwa sechs Jahren eine erste Kontrolle durchführen zu lassen. Spätestens nach dem Durchbruch der bleibenden Schneidezähne im Oberkiefer sollten Sie mit Ihrem Kind unsere Praxis aufsuchen. Dies ist in der Regel zwischen dem 9. und 12. Lebensjahr der Fall. Eine frühe Diagnose ermöglicht es uns, den optimalen Zeitpunkt für den Behandlungsbeginn zu bestimmen. Dabei berücksichtigen wir individuelle Wachstumsmuster und die spezifische Entwicklung Ihres Kindes. Der große Vorteil einer frühzeitigen Behandlung liegt darin, dass wir die natürlichen Wachstumsprozesse für die Korrektur nutzen können.
Die Behandlungsdauer ist im Kindesalter erheblich kürzer als bei Erwachsenen. Zudem lassen sich viele Fehlstellungen leichter beheben, wenn die Kieferknochen noch im Wachstum sind. Bei moderndentistry in Leipzig führen wir eine umfassende Diagnostik durch, um festzustellen, ob und wann eine kieferorthopädische Behandlung für Ihr Kind sinnvoll ist.
Zahn- und Kieferfehlstellungen können vielfältige Auswirkungen auf die Gesundheit und das Wohlbefinden Ihres Kindes haben. Eine Zahnspange für Kinder dient nicht nur ästhetischen Zwecken, sondern hat vor allem funktionelle Bedeutung. Fehlstellungen können zu einseitigen Belastungen führen, welche die Zähne langfristig schädigen und den Zahnhalteapparat sowie den Kieferknochen beeinträchtigen. Auch das Kiefergelenk und die Kaumuskulatur können in Mitleidenschaft gezogen werden.
Darüber hinaus erschweren bestimmte Fehlstellungen die Mundhygiene erheblich. Schwer erreichbare Zahnzwischenräume erhöhen das Risiko für Karies und Parodontitis. Je nach Art der Fehlstellung kann auch die Sprachentwicklung behindert werden, was sich auf die Kommunikationsfähigkeit Ihres Kindes auswirkt.
Nicht zu unterschätzen ist auch der psychologische Aspekt: Viele Kinder und Jugendliche leiden unter ihren Zahnfehlstellungen und fühlen sich unwohl. Eine Zahnspange für Jugendliche kann das Selbstbewusstsein erheblich stärken und zu einer positiven Persönlichkeitsentwicklung beitragen. In unserer Praxis nehmen wir diese Sorgen ernst und bieten eine einfühlsame, symptombezogene Therapie an.
Bei moderndentistry in Leipzig setzen wir auf moderne, ästhetische Lösungen für die Kinderkieferortopädie. Welche Zahnspange für Ihr Kind die richtige ist, hängt von verschiedenen Faktoren ab – insbesondere von der Art und dem Schweregrad der Fehlstellung sowie vom Alter Ihres Kindes. Wir möchten für jeden jungen Patienten die optimale Lösung finden, die in möglichst kurzer Zeit nachhaltige Ergebnisse erzielt.
Feste Zahnspange aus IDB Keramik Brackets: Die moderne Version der klassischen Brackets besteht aus zahnfarbener oder transparenter Keramik und ist deutlich unauffälliger als herkömmliche Metallbrackets. Diese Zahnspange für Kinder bietet den Vorteil einer kontinuierlichen Krafteinwirkung und eignet sich besonders für mittlere bis komplexe Fehlstellungen. Die IDB Keramik Brackets sind robust, langlebig und fallen im Alltag kaum auf.
Aligner (Invisalign): Für Jugendliche bieten transparente Schienen eine nahezu unsichtbare Alternative. Die herausnehmbaren Aligner ermöglichen eine flexible Behandlung ohne Einschränkungen beim Essen und bei der Mundhygiene. Sie eignen sich besonders für verantwortungsbewusste Jugendliche, die bereit sind, die Schienen konsequent zu tragen. Bei moderndentistry beraten wir Sie ausführlich zu den Vor- und Nachteilen der verschiedenen Systeme und finden gemeinsam die passende Lösung für Ihr Kind.
Ein oft übersehener Aspekt in der Kieferortopädie für Jugendliche und Kinder ist der Atemweg, auch Airway genannt. Ein eingeschränkter Atemweg kann schwerwiegende Folgen für das Wachstum und die Entwicklung Ihres Kindes haben. Symptome wie Schnarchen, Mundatmung, Bettnässen oder Konzentrationsschwierigkeiten können Hinweise auf Atemwegsprobleme sein. Auch Verhaltensauffälligkeiten, Stimmungsschwankungen und Zähneknirschen stehen häufig in Zusammenhang mit eingeschränkter Atmung.
Besonders bemerkenswert: Studien zeigen, dass 25 Prozent der Kinder mit ADHS schnarchen. Bei vielen dieser Kinder könnten die Symptome durch eine Behandlung der Atemwegsprobleme deutlich verbessert werden. In unserer Praxis moderndentistry berücksichtigen wir den Airway systematisch in der Diagnostik. Wird ein eingeschränkter Atemweg festgestellt, können wir kieferorthopädisch gegensteuern und den Atemweg erweitern. Dies trägt nicht nur zur allgemeinen Gesundheit bei, sondern unterstützt auch die normale Entwicklung Ihres Kindes.
Vertrauen auch Sie uns, wie es viele zufriedene Kunden vor Ihnen getan haben. Lesen Sie, was uns zu Experten in der Zahnmedizin macht.
Lassen Sie sich von den tollen Veränderungen unserer jungen Patienten inspirieren. Unsere Bilder zur Kieferorthopädie Vorher-Nachher zeigen, wie wir Zahnfehlstellungen präzise korrigieren und das Selbstbewusstsein stärken. Vertrauen Sie auf unsere Erfahrung mit Kindern sowie Jugendlichen und vereinbaren Sie jetzt Ihren Beratungstermin, um sich von unseren Kieferorthopädie Vorher-Nachher Ergebnissen in Leipzig zu überzeugen.




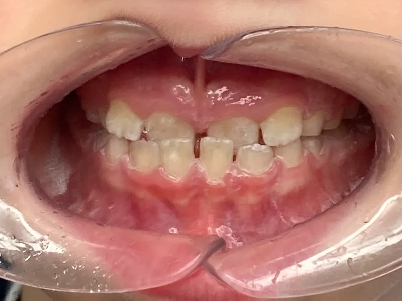
Vor der Behandlung
Am Anfang jeder kieferorthopädischen Behandlung steht eine umfassende Diagnostik. Bei Ihrem ersten Besuch in unserer Praxis moderndentistry in Leipzig nehmen wir uns ausreichend Zeit für eine gründliche Untersuchung. Dr. Niels Hoffmann analysiert die Zahnsituation Ihres Kindes genau und fertigt detaillierte Aufnahmen an. Dazu gehören Röntgenbilder, Fotos und Abdrücke der Zähne.
Mithilfe moderner bildgebender Verfahren können wir auch den Atemweg beurteilen – ein wichtiger Aspekt, der oft vernachlässigt wird. Basierend auf dieser Diagnostik erstellen wir einen individuellen Behandlungsplan, der genau auf die Bedürfnisse Ihres Kindes abgestimmt ist. Wir erläutern Ihnen transparent alle Behandlungsschritte und beantworten sämtliche Fragen. Vor Beginn der Behandlung erhalten Sie einen detaillierten Heil- und Kostenplan. Uns ist es wichtig, dass Sie und Ihr Kind sich gut informiert und sicher fühlen, bevor wir mit der eigentlichen Behandlung beginnen.
Während der Behandlung
Die Durchführung der Behandlung richtet sich nach dem gewählten System. Bei einer festen Zahnspange werden die IDB Brackets zunächst auf die Zähne geklebt und mit einem Drahtbogen verbunden. Dieser übt sanften, kontinuierlichen Druck auf die Zähne aus und bewegt sie schrittweise in die gewünschte Position. In regelmäßigen Abständen – in der Regel alle vier bis acht Wochen – findet ein Kontrolltermin in unserer Praxis statt. Dabei überprüfen wir den Behandlungsfortschritt und nehmen notwendige Anpassungen vor. Bei Alignern für Jugendliche werden die Schienen etwa alle zwei Wochen gewechselt. Jede Schiene bewegt die Zähne ein kleines Stück weiter, bis das gewünschte Ergebnis erreicht ist. Während der gesamten Behandlungsphase steht unser Team für Fragen zur Verfügung. Wir legen großen Wert auf eine gute Mundhygiene und geben praktische Tipps zur optimalen Pflege der Zahnspange.
Nach der Behandlung
Nach Abschluss der aktiven Behandlungsphase beginnt die Retentionsphase – ein entscheidender Schritt für den langfristigen Erfolg. Die Zähne haben die Tendenz, in ihre ursprüngliche Position zurückzuwandern. Um dies zu verhindern, fertigen wir einen Retainer an. Dabei handelt es sich meist um einen dünnen Draht, der auf der Rückseite der Frontzähne befestigt wird und die Zähne in ihrer neuen Position stabilisiert. Alternativ können auch herausnehmbare Retentionsschienen zum Einsatz kommen. Die Dauer der Retention hängt von der behandelten Fehlstellung ab, sollte aber mindestens so lang sein wie die aktive Behandlung. Bei moderndentistry begleiten wir Sie und Ihr Kind auch nach der Behandlung mit regelmäßigen Kontrollterminen, um den langfristigen Erfolg zu sichern. Unser Ziel ist es, dass Ihr Kind dauerhaft von einem schönen, gesunden Lächeln profitiert.

Professionelle Durchführung
Beim Bleaching der Zähne profitieren Sie von der fachkundigen Aufsicht durch Dr.Niels Hofmann, die für umfassende Sicherheit sorgt.
Sicherheit & Schnelligkeit
Unser Verfahren wird ausschließlich unter der Kontrolle und Anwendung durch zahnmedizinisches Fachpersonal durchgeführt. Unsere Produkte liefern durch klinische Tests bestätigte Sicherheit.

Moderne Technik
Wir setzen auf führende Materialien und fortschrittliche Methoden für ein optimales Bleaching Ergebnis.
Komfortable Umgebung
In unserer Praxis in Leipzig schaffen wir eine entspannende Atmosphäre für einangenehmes Behandlungserlebnis.
Jeder Mensch ist einzigartig. Aus diesem Grund nehmen wir uns für jeden unserer Patienten die Zeit, die für eine vollumfassende Beratung nötig ist.
Haben Sie Fragen zu unseren Leistungen, zu Behandlungsabläufen oder zur Terminvergabe?
Oder möchten Sie gerne einen unverbindlichen Beratungstermin vereinbaren?
Kontaktieren Sie uns jederzeit zu unseren Öffnungszeiten – Wir sind gerne für Sie da!
Unsere Öffnungszeiten:
Mo. bis Fr. 08:00 bis 12:00 Uhr
Di. & Do. 14:00 bis 18:00 Uhr



Verschiedene Zahnfehlstellungen erfordern eine kieferorthopädische Behandlung: Engstand, bei dem die Zähne zu wenig Platz haben und eng oder schief wachsen, Lückengebisse mit großen Zwischenräumen, offener Biss, Kreuzbiss, Über- oder Unterbiss sowie Tief- oder Deckbiss. Auch funktionelle Probleme beim Kauen, Sprechen oder Atmen können Hinweise sein. Bei regelmäßigen Kontrolluntersuchungen kann Ihr Hauszahnarzt Fehlstellungen frühzeitig erkennen. Zudem sollten Sie als Eltern auf Auffälligkeiten wie Mundatmung oder Schnarchen achten.
Die Kosten für eine Zahnspange für Kinder variieren stark und hängen von der Ausgangssituation, der gewählten Behandlungsmethode und dem erforderlichen Aufwand ab. Bei moderndentistry erstellen wir vor Behandlungsbeginn einen detaillierten Heil- und Kostenplan. Die Investition liegt im Bereich $$$. Bei gesetzlich versicherten Kindern unter 18 Jahren übernimmt die Krankenkasse einen Großteil der Kosten, wenn der Schweregrad der Fehlstellung mindestens Stufe 3 erreicht. Wir beraten Sie transparent zu allen finanziellen Aspekten.
Eine Zahnspange für Jugendliche oder Kinder wird notwendig, wenn Zahnfehlstellungen funktionelle Störungen verursachen oder verursachen könnten. Dies betrifft die Nahrungsaufnahme, das Sprechen oder die Atmung. Auch bei erheblicher psychischer Belastung durch die Fehlstellung ist eine Behandlung wichtig. Grundsätzlich gilt: Je früher Fehlstellungen erkannt und behandelt werden, desto besser sind die Erfolgsaussichten. Die optimale Behandlungszeit liegt oft in Phasen verstärkten Wachstums, typischerweise zwischen 9 und 14 Jahren.
Bei gesetzlich versicherten Kindern und Jugendlichen unter 18 Jahren übernimmt die Krankenkasse die Kosten, wenn die Fehlstellung mit Schweregrad 3, 4 oder 5 eingestuft wird. Bei Schweregrad 1 oder 2 müssen Eltern die Behandlung selbst finanzieren oder über eine private Zusatzversicherung abrechnen. Private Krankenversicherungen handhaben die Kostenübernahme je nach Tarif unterschiedlich. In unserer Praxis unterstützen wir Sie bei allen Fragen zur Abrechnung und erstellen die notwendigen Unterlagen für Ihre Krankenkasse.
Die Behandlung mit einer Zahnspange ist in der Regel schmerzarm. Insbesondere zu Beginn und nach Anpassungen der IDB Brackets oder des Drahtbogens können leichte Druck- oder Spannungsgefühle auftreten. Diese Beschwerden klingen meist nach wenigen Tagen von selbst ab. Durch den Einsatz moderner, flexibler Materialien lässt sich das Unbehagen deutlich reduzieren. Bei Bedarf können weiche Nahrungsmittel und kühle Getränke Linderung verschaffen. Unser Team bei moderndentistry steht Ihnen jederzeit für Fragen zur Verfügung und gibt praktische Tipps für mehr Komfort während der Behandlung.